BPS Zahnprothese

Der BPS Zahnersatz in Győr steht für höchste Qualität und moderne Technologie im Bereich herausnehmbarer Prothesen. Das Biofunktionelle Prothetiksystem (BPS) bietet eine natürliche Optik, exakte Passform und hervorragende Kaueigenschaften. Der präzise geplante BPS Zahnersatz ist digital gefertigt, metallfrei und allergikerfreundlich – die ideale Wahl. Entscheiden Sie sich für  Dr Kurunczi Zahnarztpraxis in Győr, wenn Sie Wert auf Qualität und ein schönes Lächeln legen!

BPS Zahnprothese

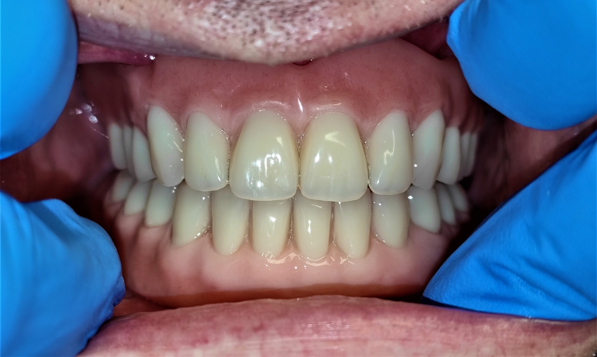
Herausnehmbarer Zahnersatz von BPS ist etwas, das Ihnen nicht verrät, dass es sich nicht um Ihre eigenen Zähne handelt.

Es ist angenehm zu tragen, leicht zu reinigen und sieht so natürlich aus, dass Sie unbeschwert lächeln können, denn niemand
wird merken, dass Sie Zahnersatz haben!

BPS-Prothesen sind viel komfortabler in der Anwendung als herkömmliche Prothesen, weil:

Es schmiegt sich perfekt an die Kieferknochen an und ist dadurch stabil
Auch die Gesichtsmuskulatur wird bei der Gestaltung der Grundplatte berücksichtigt
Seine Randgestaltung ist so ausgeführt, dass, wenn es die anatomischen Gegebenheiten zulassen, ein Vakuum unter der
Prothese entsteht und diese fest an Ort und Stelle gehalten werden kann
Prothesenhaftmittel sollen höchstens in den ersten 2 Wochen verwendet werden.
Der „Biss“ wird mit einem Instrument gemessen, dadurch wird der Kontakt der Zähne viel genauer bestimmt, dadurch ist die
Prothese beim Kauen stabiler und verrutscht nicht.
Wir erzeugen einen speziellen Zahnkontakt mit BPS-Technologie, der die Kaukraft optimal verteilt, so dass das Gebiss weniger
drückt, bricht und kaum angepasst werden muss, es stabilisiert das Kauen.
Es wird ausschließlich aus den hochwertigsten Schweizer Materialien der schweizer Unternehmen Ivoclar und Candulor
hergestellt und ist daher zwei- bis dreimal haltbarer als herkömmlicher Zahnersatz.
BPS-Prothesen sehen nicht wie künstliche Prothesen aus, sie zeichnen sich durch einzigartige Formen und Farben aus.
Künstliche Zähne ersetzen die ursprünglich verlorenen Zähne und verjüngen so das Erscheinungsbild des Trägers.
Dank der stabilen Position und der optimierten Kaudruckverteilung kann der Kieferknochenschwund deutlich verlangsamt
werden.

Die BPS Zahnprothese (Biofunktionelles Prothetik System) steht für höchste Präzision, Natürlichkeit und optimalen Komfort. Durch eine individuelle Abdrucknahme und präzise Fertigung entsteht eine Prothese, die nicht nur ästhetisch ansprechend ist, sondern auch perfekt sitzt. Die BPS Prothese eignet sich ideal für Menschen, die Wert auf eine hochwertige und langlebige Zahnersatzlösung legen. Lassen Sie sich in unserer Praxis beraten und erleben Sie ein neues Lebensgefühl mit einer maßgeschneiderten BPS Zahnprothese!

BPS-Prothesen

1200.- €
  • pro stück
  • ( unten oder oben)
beliebt
Scroll to Top